A função da bexiga é acumular a urina produzida nos rins. A urina chega à bexiga por dois ureteres e é eliminada para o exterior através de um tubo chamado de uretra. O esvaziamento da bexiga é uma reação reflexa que as crianças demoram vários anos para controlar inteiramente. A capacidade média da bexiga de um adulto é de meio litro de líquido.
A bexiga e os órgãos genitais femininos são muito relacionados, por isso o seu funcionamento é mutuamente alterado quando há infecções, tanto da bexiga como dos órgãos genitais.
Cistite:
Cistite é uma infecção e/ou inflamação da bexiga. Em geral, é causada pela bactéria Escherichia coli, presente no intestino e importante para a digestão. No trato urinário, porém, essa bactéria pode infectar a uretra (uretrite), a bexiga (cistite) ou os rins (pielonefrite). Outros microorganismos também podem provocar cistite.
Homens, mulheres e crianças estão sujeitos à cistite. No entanto, ela é prevalente nas mulheres porque as características anatômicas femininas favorecem sua incidência. A uretra da mulher, além de muito mais curta do que a do homem, está mais próxima do ânus.
Nos homens, depois dos 50 anos, o crescimento da próstata e conseqüente retenção de urina na bexiga pode causar cistite.
Sintomas:
·Necessidade urgente de urinar com freqüência;
·Escassa eliminação de urina em cada micção;
·Ardor durante a micção;
·Dores na bexiga, nas costas e no baixo ventre;
·Febre;
·Sangue na urina nos casos mais graves.
Câncer de Bexiga:
Há várias formas de câncer de bexiga, que podem manifestar-se de diferentes maneiras. São bem mais freqüentes em homens do que em mulheres e sua incidência aumenta com a idade, geralmente após os 60 anos, sendo raro antes dos 40.
Os tumores de bexiga que não ultrapassam o urotélio, são considerados superficiais e, quase sempre, podem ser completamente removidos cirurgicamente.
Os tumores que infiltram a camada muscular da bexiga são classificados como invasivos e requerem cirurgias mais complexas, geralmente com remoção parcial ou total (cistectomia) da bexiga.
Fatores de risco:
Ainda não se sabe exatamente quais as causas do câncer de bexiga. Entretanto, estudos apontam para o fumo como o principal fator de risco.
Sinais e Sintomas mais freqüentes:
·sangue na urina;
·dor ou sensação de pressão na barriga;
·perda de peso repentina;
·freqüentes irritações vesicais (ex: cistite).
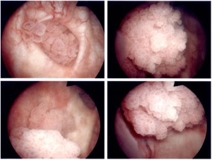
Como é feito o diagnóstico:
Por meio de um exame de urina pode-se detectar hematúria (sangue na urina), bem como a presença de células anormais.
Nesse caso, o urologista solicitará um exame citoscópico, que consiste na introdução, via uretra, de um tubo fino e flexível de fibra ótica, com um telescópio na extremidade, que permite uma visão ampliada da parede da bexiga.
Para submeter-se à citoscopia, o paciente é previamente anestesiado. Uma amostra de tecido costuma ser retirada durante esse procedimento (biópsia), para posterior exame anátomo patológico,que fornecerá o diagnóstico preciso.
Para saber a extensão do tumor e planejar o tratamento adequado, alguns exames serão necessários, tais como raios-X, testes laboratoriais, ultra-som, tomografia etc.
Incontinência Urinária:
Incontinência urinária é a perda involuntária de urina. Para muitas pessoas, incontinência urinária é uma fonte de constrangimento e dificuldade social que é escondida e deixada sem tratamento.
Aproximadamente 38% das mulheres americanas possuem algum grau de perda involuntária de urina, e entre pessoas com mais de 60 anos, ocorre duas vezes mais em mulheres do que em homens. Contrário à crença popular, a incontinência urinária não é uma conseqüência normal da idade, embora os músculos do trato urinário possam perder algum tônus quando nós envelhecemos.
Mais da metade das pessoas idosas com incontinência tem uma causa reversível. Estas causas podem incluir: infecção urinária, constipação intestinal importante, uso de certas medicações, doença aguda, mobilidade restrita, desordens psicológicas, inflamações da bexiga, retenção urinária e desordens hormonais.
Os tipos de incontinência persistentes são: incontinência de estresse (no qual pequenas quantidades de urina são perdidas quando você tosse, espirra, ou faz qualquer atividade repentina que aumenta a pressão dentro do abdômen.
O tipo mais comum de incontinência na mulher), urge-incontinência (refere a inabilidade em atrasar a micção quando você sente que a bexiga esta cheia), incontinência por transbordamento (na qual a bexiga enche em excesso e pequenas quantidades de urina vazam sem qualquer aviso) e incontinência mista – quando há uma combinação dos tipos acima.
Causas:
• Comprometimento da musculatura dos esfíncteres ou do assoalho pélvico;
• Gravidez e parto;
• Tumores malignos e benignos;
• Doenças que comprimem a bexiga;
• Obesidade;
• Tosse crônica dos fumantes;
• Quadros pulmonares obstrutivos que geram pressão abdominal;
• Bexigas hiperativas que contraem independentemente da vontade do portador;
• Procedimentos cirúrgicos ou irradiação que lesem os nervos do esfíncter masculino.
Diagnóstico:
História Clínica e Exame físico são fundamentais além de exames complementares ,como o exame de urina com cultura e estudo Urodinâmico.
Tratamento:
Somente um urologista poderá identificar a causa e indicar o melhor tratamento para o problema.
Urologia Vitória.
Dr. Márcio Maia Lamy de Miranda.
Dr. Carlos Alberto Emerich Gomes.
Dr. Marcelo Cabral Lamy de Miranda.
© 2023, Urologia Vitória. Todos direitos reservados.
Automated page speed optimizations for fast site performance